![]() Bacillus subtilis |
Bacillus anthracis |
![]() Escherichia coli |
![]() Stapholoccus aureus |
Streptococcus pyogenes |
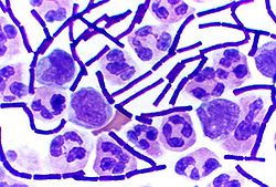
Bacillus anthracis (stained purple) growing in cerebrospinal fluid. |
![]() Filaments of photosynthetic cyanobacteria. |
![]() Scanning electron micrograph of Escherichia coli bacilli. |
![]() Color-enhanced scanning electron micrograph showing Salmonella typhimurium (red) invading cultured human cells. |
Streptococcus mutans visualized with a Gram stain. |





